花粉症で歯が痛い?歯肉が腫れる?抜歯に注意?知っておきたい知識
下がった歯茎を取り戻す再生治療について知っておきたい3つのポイント
ぶつけた前歯と開咬の矯正治療の症例(40代女性)
CREA春号にヴェリ歯科クリニック掲載されました。
ブリッジやインプラントを回避!透明で綺麗な入れ歯のすすめ
今からでも遅くない!!ぽかん口になって歯並びが悪くなってしまっても知っておきたいこと
マウスピース矯正治療はワイヤー矯正からのチェンジ代無料
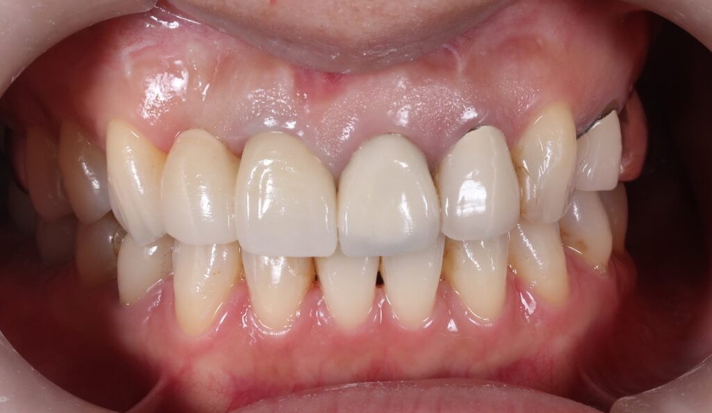
なるべく本物の歯を作るのがモットー
矮小歯とすきっ歯を削らずに治療した症例
院長ブログ
削らない・抜かない治療
矯正歯科・噛み合わせ治療
歯周・再生治療
審美修復・接着歯科
神経温存治療
入れ歯
# ノンクラスプデンチャー
# レーザー
# 予防歯科
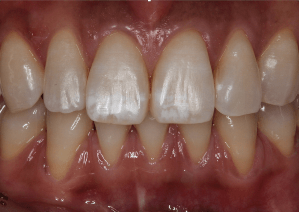
# ホワイトスポット ダイレクトボンディング
# pmtc
# ブルーラジカル
# 顎関節
# 親知らず
# エクストルージョン
# ホワイトスポット
# 接着ブリッジ
# ダイレクトボンディング
# バイタルパルプセラピー
# 精密根管治療
# セラミック
# 片側ブリッジ
# 歯ぐき下がりブラックトライアングル
# 包括矯正