新年は1月6日から診療いたします。
取り外しができるブリッジ『ウェルデンツ』!ノンクラスプデンチャーとの違いは?
ドライウェットラインを参考に審美的なセラミックの歯を作るわけ
インビザラインプラチナドクター
芸能人にも多い大人になるまで残っている乳歯!乳歯は抜いたほうがいい?
本日は池袋保健所にて障害者歯科
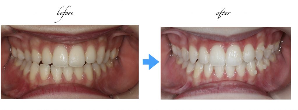
部分矯正治療の失敗症例の改善治療
スポーツ競技と矯正治療
おこもり美容〜咬筋ボトックス注射で歯ぎしり改善小顔効果〜
院長ブログ
削らない・抜かない治療
矯正歯科・噛み合わせ治療
歯周・再生治療
審美修復・接着歯科
神経温存治療
入れ歯
# ノンクラスプデンチャー
# レーザー
# 予防歯科
# ホワイトスポット ダイレクトボンディング
# pmtc
# ブルーラジカル
# 顎関節
# 親知らず
# エクストルージョン
# ホワイトスポット
# 接着ブリッジ
# ダイレクトボンディング
# バイタルパルプセラピー
# 精密根管治療
# セラミック
# 片側ブリッジ
# 歯ぐき下がりブラックトライアングル
# 包括矯正