インビザライン 矯正治療でCTを活用するわけ
ヨーロッパ式歯のクリーニングとは?
最新CT導入とEMS社クリーニング機械とビタミンc点滴とボトックス
『インビザライン を扱ってるお近くの歯科医院』からもアクセスできます
当院は東京歯科大学協力医療機関です。
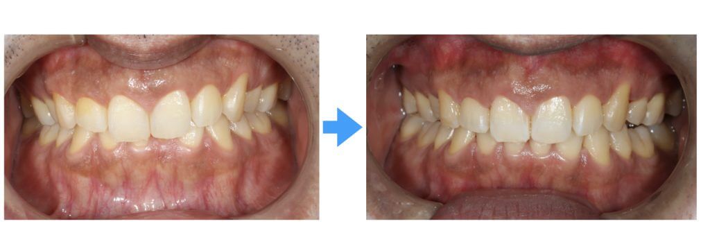
すきっ歯をインビザライン とインプラントで治療した症例
本物の歯にそっくりな差し歯を作りたいとき知っておきたいセラミック治療のこと
歯の神経は取らずに残す治療法
歯周病の人がコロナに感染すると歯周病でない方と比べ死亡率が8倍になる?
院長ブログ
削らない・抜かない治療
矯正歯科・噛み合わせ治療
歯周・再生治療
審美修復・接着歯科
神経温存治療
入れ歯
# ノンクラスプデンチャー
# レーザー
# 予防歯科
# ホワイトスポット ダイレクトボンディング
# pmtc
# ブルーラジカル
# 顎関節
# 親知らず
# エクストルージョン
# ホワイトスポット
# 接着ブリッジ
# ダイレクトボンディング
# バイタルパルプセラピー
# 精密根管治療
# セラミック
# 片側ブリッジ
# 歯ぐき下がりブラックトライアングル
# 包括矯正