知らないと怖い!歯茎の下に虫歯があると抜歯になってしまうわけ
削らないブリッジで差し歯を入れる(片面型接着性ブリッジ)
豊島区歯周病歯科健診
インビザライン治療症例〜開咬編〜
巣鴨ヴェリ歯科でコロナウィルス抗体検査実施しました。
コロナ陰性を証明したい方へ抗体検査のすすめ
歯磨きだけでは足りてない!?おすすめ歯科グッズとクリーニングについて
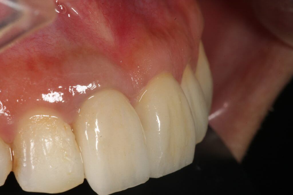
前歯をより自然に!ダイレクトボンディングの話
新しい診療体制(感染対策)
院長ブログ
削らない・抜かない治療
矯正歯科・噛み合わせ治療
歯周・再生治療
審美修復・接着歯科
神経温存治療
入れ歯
# ノンクラスプデンチャー
# レーザー
# 予防歯科
# ホワイトスポット ダイレクトボンディング
# pmtc
# ブルーラジカル
# 顎関節
# 親知らず
# エクストルージョン
# ホワイトスポット
# 接着ブリッジ
# ダイレクトボンディング
# バイタルパルプセラピー
# 精密根管治療
# セラミック
# 片側ブリッジ
# 歯ぐき下がりブラックトライアングル
# 包括矯正