
こんにちは巣鴨ヴェリ歯科クリニックです。
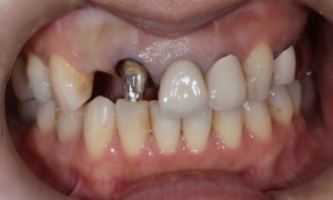
当院で多く問い合わせを受けています削らないブリッジについての症例です。上の写真は向かって左側の2本の歯を1本の土台で製作しています。


患者様は30代女性N様、他院でインプラントもしくは健康な犬歯を削らなければ治療ができないとの説明を受け当院に来院されました。通常接着ブリッジは健康な歯の裏面をほんの少し削り接合部を接着して歯を作るのですがこちらの方はちょうど真ん中の歯に不適合な差し歯をしておりました。
連結された差し歯を切断した後外し仮歯を装着します。


仮歯で数週間装着し違和感や形のリクエストを聞いて最終の差し歯を作りました。治療後1年以上経ちますが予後は安定しております。
噛み合わせや欠損している歯の状態により向き不向きがありますがまずはお気軽にご相談ください。