
こんにちは、ヴェリ歯科クリニック院長の田島です。
せっかく歯に被せ物をいれても、『なんだか調子よくないな〜』『被せ物の歯茎から血がよく出るな〜』なんてことありませんか。
歯茎のコンデションは繊細ではあるけれど、しっかり歯磨きをしていてもトラブルがある場合、それはもしかしたら被せ物の設定のせいかもしれませんよ。
今回は被せ物と歯茎の関係をまとめてみました。
しっかり歯茎に調和のとれた被せ物を作るために知りたいことをお話ししたいと思います。
目次
歯茎をコントロールさせて被せ物を作る


被せ物を作る工程は、歯を削った状態で型取りをして歯科技工所で被せ物を製作します。
これは一般的な流れになります。
しかし被せ物の際の部分の設定はどうでしょう。
被せ物の際(きわ)のことをマージンとよびます。マージン設定は被せ物を作る際に重要な項目になります。マージン設定はどのようなものがあるのでしょう。
歯茎より上、または歯茎のラインに沿ってマージンを設定
被せ物のきわ(マージン)を歯肉より上に設定することを、スープラマージン(supragingival)とよびます。見た目の要素を必要としていない奥歯などに設定することがあります。
メリットとしてはマージンが歯茎より上に設定されるので歯茎が炎症を起こすことは少ないです。
デメリットとして被せ物のマージンが歯肉の上にあるため見た目が悪いです。また出すぎたマージンは二次虫歯(カリエス)の原因にもなります。
歯茎より下に設定
被せ物のきわ(マージン)を歯茎より下に設定することを、サブジンジバルマージン(subgingival)、サブジンジバルカウントゥアーとよびます。
メリットとして設定ラインが歯茎の下にあるので審美的に見た目のいい被せ物が入ります。
デメリットとして歯肉の下のコントロールを怠ると歯茎が炎症を起こします。歯茎のコントロールが必要となります。
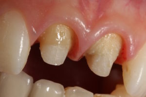
前歯の被せ物のマージンが歯茎より上に設定されると。。。

(マージンの設定が不正)
マージンの設定が歯茎の上にある前歯の被せ物は、審美的に問題が出てしまいます。
特に、金属を使用している被せ物(メタルボンドクラウン)や保険の前歯の被せ物では金属のマージンが出てしまいます。
そのため歯の生え際が黒くなったり、いかにも人工物を入れているような見た目になります。
歯茎の黒ずみもこのようなことから起きてしまうのです。
マージンの位置をコントロールする
マージンを歯茎の下に設定するためには闇雲に設定してはいけません。マージンが歯茎の下すぎると被せ物が組織を破壊して炎症が起こります。(生物学的幅径の侵襲)
マージンが上すぎるとマージンが歯茎上に露出してしまったり、将来的に歯茎がダメージを起こして下がった時に露出することもあります。
これだけ読んでると『マージンは一体どこに設定すればいいんだ?』なんて思いますよね。
そうですマージンの設定は難しいのです。そのため私たち歯科医師は仮歯を使って歯茎をコントロールさせます。
エマージェンスプロファイルとは?

エマージェンスプロファイルは歯の生え際の部分の立ち上がりのことを言います。

図は歯が歯茎からどのように萌えているかを拡大した状態です。
歯の立ち上がり方はすべての歯によって、また同じ歯でも表側(唇側面)、歯と歯の間(隣接面)によって異なります。
歯の立ち上がり、エマージェンスプロファイルを仮歯でコントロールして調和させます。
エマージェンスプロファイルのカウントゥアー設計

図のA、B、Cは同じ歯のエマージェンスプロファイルエリアの状態です。これによって歯の周囲のマージンとそれによる歯茎の立ち上がりが複雑なのがわかります。
A部
歯の唇側面(表側)の立ち上がりです。歯茎の下(歯肉縁下)から豊隆があるように立ち上がります。豊隆のことをカウントゥアーと呼び表側は多少オーバーカウントゥアーぎみ(膨らむように)に立ち上がります。
B部
歯と歯の間(隣接面)のカウントゥアーです。隣接面は表側に対しやや凹んだように立ち上がります。これをレスカウントゥアーと呼びます。
C部
AとBの移行部をトランジショナルエリアと言います。このエリアの立ち上がりはオーバーでもレスでもなく歯肉に平行にすることが好ましいです。
Q どうやってエマージェンスプロファイルをコントロールさせるの?
A その答えはシンプルです。
仮歯にレジンを盛ったり、削ったりしながら足し算、引き算します。とても地道な作業ですがすごく大事なことです。ある程度これでいいなと思ったら仮歯を仮付けして数週間過ごしてもらいます。
数週間後、仮歯を外した時に歯茎の周りに炎症があるかを確認します。炎症がある場合は仮歯を少し削ってまたしばらく様子を見ます。

このようにして仮歯を煮詰めることで最終的な被せ物のエマージェンスプロファイルを模索します。
最後に歯茎の立ち上がりはこれでいいなと判断したら、仮歯の情報をコピーして歯科技工所に送ります。
エマージェンスプロファイルを模索した被せ物は、無作為に作った被せ物に比べ歯茎に調和したものになります。
まとめ
とても難しい話でしたが、少しは理解していただけたでしょうか。適正なエマージェンスプロファイルを作ることで歯茎にあった被せ物を作ることができます。
そのためにも仮歯の調整が重要なことを覚えてください。
早く被せ物を歯に入れたい気持ちは患者さんも歯医者さんも同じです。ただこの一手間が将来的に満足できる被せ物になるのではと思います。