韓国の歯科医院
新年あけましておめでとうございます。
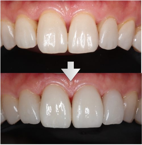
前歯を天然の歯に近くするためには
ヴェリホワイトニング一回目
セラミックの仕組み
世界の桑田先生
クリスマスマーケット
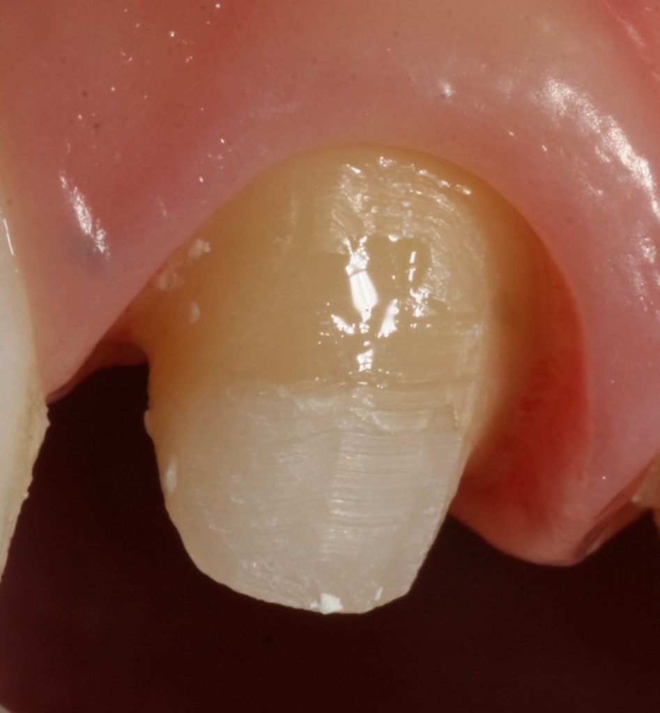
エマージェンスプロファイル
歯を引っ張って歯を残すエクストルージョン法
院長ブログ
削らない・抜かない治療
矯正歯科・噛み合わせ治療
歯周・再生治療
審美修復・接着歯科
神経温存治療
入れ歯
# ノンクラスプデンチャー
# レーザー
# 予防歯科
# ホワイトスポット ダイレクトボンディング
# pmtc
# ブルーラジカル
# 顎関節
# 親知らず
# エクストルージョン
# ホワイトスポット
# 接着ブリッジ
# ダイレクトボンディング
# バイタルパルプセラピー
# 精密根管治療
# セラミック
# 片側ブリッジ
# 歯ぐき下がりブラックトライアングル
# 包括矯正