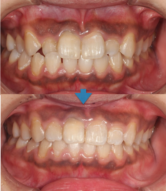
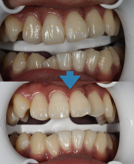
ジルコニアラミネートベニアと矯正治療の複合的な治療
バレンタインチョコ味歯磨き粉
ドックベストセメントをやってよかった
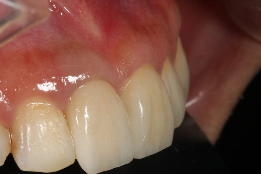
マメロンを知って前歯のインサイザルエッジを作る
コンポジットレジン治療
e-max白い詰め物
奥歯に白い歯とは?
勉強会
最近の歯科ニュースについて
院長ブログ
削らない・抜かない治療
矯正歯科・噛み合わせ治療
歯周・再生治療
審美修復・接着歯科
神経温存治療
入れ歯
# ノンクラスプデンチャー
# レーザー
# 予防歯科
# ホワイトスポット ダイレクトボンディング
# pmtc
# ブルーラジカル
# 顎関節
# 親知らず
# エクストルージョン
# ホワイトスポット
# 接着ブリッジ
# ダイレクトボンディング
# バイタルパルプセラピー
# 精密根管治療
# セラミック
# 片側ブリッジ
# 歯ぐき下がりブラックトライアングル
# 包括矯正