”噛み合わせ”という観点からボロボロ虫歯さえも改善し、
綺麗な歯並びを継続させる最新のハイクオリティ治療
患者様のご要望に沿った施術を行うことができます。 今まで他の歯医者さんで「抜歯しないといけない」 といった断定をされて不安だった方も、 最先端の歯科治療技術を有する私たちなら お力になれるかもしれません。
患者様が笑顔で帰宅できるよう、
できるだけ長持ちする綺麗な歯並びを実現します。
患者様の治療やドクターとの会話など、プライバシーを尊重して当院では診療スペースを半個室化しております。ただし、密室で治療されるのが嫌な方のために少し開放感があるスペースになっております。ご安心して受診くださいませ。
歯医者で治療する際に聞こえる独特の「キーン」というドリル音が苦手ではありませんか?
当院では、静音設計の5倍速マイクロモーターを使用するので、不快な音がする心配はありません。
また、歯医者あるあるの”麻酔による痛み”を軽減する取り組みも行っています。
麻酔を行う前に表面麻酔で患部を鈍感させ、麻酔液を体温に近い温度に温め、針は極力細い33ゲージを使用しております。
また麻酔をかける際はなるべくゆっくり定量に電動麻酔を使用し痛くならないツボに挿入します。
ネットの空き情報を
今すぐ確認する

こちらの患者様は咀嚼障害(噛めない)と審美障害(見た目をきれいにしてほしい)を主訴で来院された患者様です。ご要望として、インプラントや歯ぐきを切るような治療は避けたいとのことでした。
なるべく残っている歯を温存できるよう高度な根の治療、下の歯の矯正治療、親知らずを活用する矯正治療をして低侵襲な治療を心がけました。
約1年半の治療を経て上の歯、下の歯にジルコニアクラウンをかぶせました。歯の治療は建築と似ています。最初の設計が治療の90%をしめるといいます。
当院ではなるべく最初の設計が最後の被せ物を入れた状態になるよう精密な診断をしております。
上の写真は開咬症オープンバイトで奥歯が少なく他院にて治療がうまくいかなく当院に来られた患者様です。
奥歯のインプラント治療を行いインビザライン矯正治療を行いました。かけてしまった前歯はラミネートベニアにて修復治療を行いました。
虫歯を治していくという治療技術と矯正治療により歯を並べていく技術、奥歯にインプラントをどこに入れるかを術前に診断し診断用ワックスアップから治療手順をあらかじめ決めていきます。
料理で言うとレシピ、建築で言うと設計図というものです
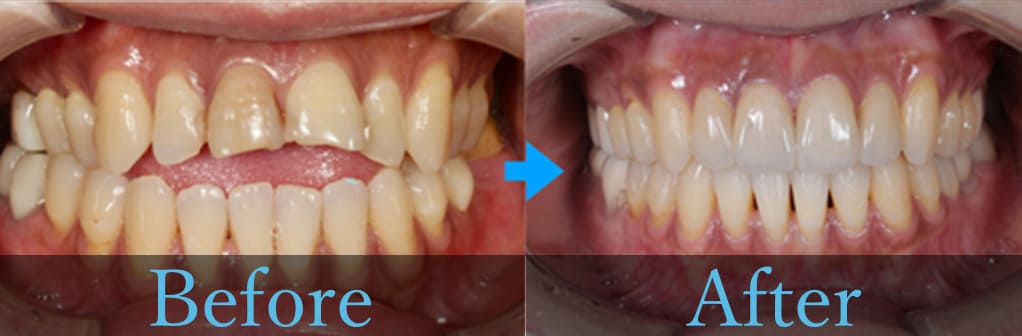
患者様は30代の女性の患者様で奥歯の噛み合わせ不調から顎や肩、首の辛さを訴えておりました。
初診時にお口のなかを診ると奥歯の銀歯が円錐状になっていて全く噛んでいませんでした。左側の奥歯は歯が小さくなっていてこれも噛んでいませんでした。
両奥歯が噛んでいなく、また前歯の出っ張りも気になっているようでした。
奥歯を一本でも残せられるよう根管治療専門医で神経の治療を、残せない歯に関しては抜歯してインプラント治療を行いました。
前歯の突出は奥歯の治療が終わった頃に矯正治療をして引っ込めました。
治療がひと段落した頃に仮歯にて最終の差し歯に似たものを作ります。
これで仮歯は当初から三回リニューアルします。
ヴェリ歯科では噛み合わせ治療やひどい虫歯治療で歯を複数本治療する方は一本づつ歯を治療するのではなく咬合診断で十分シュミレーションしてから治療を行っております。
顎関節、前歯の審美的なコンサルが終わり最終の差し歯治療へと移行しました。
何度も虫歯を削ったりつめたりする必要は
もうありません!!
噛み合わせが悪くなると「顔のゆがみ」「顎関節症」と言った問題が発生します。
近年の研究からアルツハイマー病と噛み合わせにも関連性があることも分かっています。
そこで当院では、ただ虫歯になった歯を削ったり差し歯を入れたりするのではなく患者様に最適な噛み合わせを実現することで健康的な口腔環境を実現します。
噛み合わせ治療によって患者様は虫歯が単に治るだけでなく、歯並びが整って素敵な笑顔を自然に振る舞えるようになります。何度も歯を削ったり違和感のある”異物”を口に入れる必要はなくなることでしょう。
そのために…
虫歯除去のまえに…
綿密に歯の位置や噛み合わせを分析することで、施術で失敗する可能性を確実に減らしています。
さらに安心なのが・・・
噛み合わせ認定医の田島があなたの噛み合わせを分析し、ひどい虫歯が再発しないよう最善を尽くします。
最先端の治療機器を用いつつ、実績のある噛み合わせの権威があなたの歯を改善し笑顔になれる毎日をご提供します。
本来、虫歯の範囲が広がってしまうと歯の概形は著しく失われ差し歯や入れ物ができない状態になります。
ほとんどの歯医者では歯の神経を取るという選択をします。
しかし、当院では「マックスピン」という治療法で、神経を抜いたり抜歯したりという治療を必要とせず歯を再建できます。
虫歯を取り除いた歯にピン
マックスピンを入れる
歯とピンの間に土台用のこの治療によって今後差し歯などの入れ物をする時でも外れにくい状態を作ることができました。
「バイタルパルプセラピー」という神経を残す治療法
齲蝕検知液を使いながら虫歯に感染している部分と感染していない部分を見ながら慎重に歯を削ります。
レントゲンで虫歯の進行がかなり深いと分かった場合はマイクロスコープ(歯科用顕微鏡)を併用して治療を行います。
露髄が予想される場合は治療前からラバーダム装置を併用することもあります。
ラバーダムシートをつけることで唾液、吐息からでる水分や歯ぐきから出る浸出液など感染するものが治療した場所に入ってくるのを防ぎます。
MTAセメントとは歯科用コンクリートセメントのようなもので、殺菌効果があり24時間後には粘性の物質も固くなります。
シーリング材を敷くことで詰め物がくっつきやすくなる状態を作り上げます。
ただし、虫歯があまりに大きい場合は仮詰めで1ヶ月様子を見ます。
「インプラントはなんだか怖い」
「歯を削りたくない」
「入れ歯はどうしても見た目が気になる」
そんな方向けに当院では「接着ブリッジ」外来を受け付けております。
接着ブリッジとは両隣の歯を削らずに歯の裏側に羽のような形の物をくっつけて接着剤でつける治療法です。
見た目がごく自然な仕上がりになって周囲の人に指摘されることもほぼありません。
シングルリテンションブリッジ
(歯を削らないブリッジ)
まずはカウンセリングにてあなたが接着ブリッジに向いているか不向きかを診断します。その後歯型やレントゲンなどの資料をとります。
レントゲンで虫歯の進行がかなり深いと分かった場合はマイクロスコープ(歯科用顕微鏡)を併用して治療を行います。
治療が可能な方は抜歯後歯茎の状態を整えるためすぐに接着ブリッジを作るのではなくプラスチックでできた歯を両隣の歯と接着させます。
仮歯の形を参考に色味などを決定します。決まりましたら歯型の型取りをして仮歯と引き換えにセットします。
接着ブリッジは普通の磨き方と異なるため、デンタルフロスの使い方などをご指導させていただきます。
また末長く使っていただきたいため3〜6ヶ月のメンテナンスが必要になります。
差し歯が取れたり虫歯になったりする原因はただ歯磨きを怠ったからではありません。噛み合わせ不良がその原因だったりもします。
当院で噛み合わせと歯列矯正の技術を掛け算することで、見た目が綺麗になって自信を持って人とお喋りを楽しめるようになる、だけには止まりません!
噛む力を維持できたり歯と歯の間にモノが挟まりにくくなるので歯の寿命が伸びていきます。
何度も何度も歯医者に通うような生活を終わりにすることができます。
矯正治療と虫歯治療の治療計画をシームレスで行うことができ、総合的に低侵襲で行えるインビザライン矯正治療を当院では採用しております。
ほぼ透明な素材を用いたマウスピースによって、たとえ矯正期間であっても全く見た目の違和感がないまま歯並びが改善されていきます。
通常の歯列矯正はワイヤー矯正で痛みや金属アレルギーを心配される方も多いかもしれません。
インビザライン矯正はそんな心配を一掃してくれる画期的な治療です。
より簡単でスピーディーに治療完了
歯の移動に伴う痛みをさらに軽減
交換間隔が短くて安全かつ清潔さを保てる
様々な技術・実績を持った
ヴェリ歯科クリニックであれば
あなたの要望・悩みに沿った
最適な治療法を実践できます。
ヴェリ歯科クリニックでは患者様に高品質な治療を施すため、一人一人のお客様と向き合う時間が他の医院よりも長い場合が多いです。
そのため、ご来院いただく方には事前予約をお願いしております。ご容赦くださいませ。
口腔内スキャナー、レントゲンを駆使することで前歯の角度、顎の骨格的な問題、噛み合わせの平面、高さ、力をデータとして集めることで現在の患者様の噛み合わせ状態を多角的に理解します。
歯型を取るやり方ではないので、嘔吐反射があるという方も心配ありません。
理想的な噛み合わせ状態を咬合器で可視化します。
どんな治療が最も効果的なのか、この行程があることで明確に分かります。
当院では患者様に治療内容にご納得いただくまで施術を行いません。
この段階で最終確認を行いますので、ご不明点などをご相談ください
ご納得いただけましたら施術を開始します。
虫歯の治療法は様々ご用意しております。
保険治療でかつ即日終了であればプラスチックレジンでの治療を。
虫歯が深く、複数回通っていただく場合にはパラジウム合金またはプラスチック
クラウンをセットします。
自費治療の場合は「神経を抜かないやり方」「歯を削らないやり方」など、お客様
のストレスにならないような高度な施術を行います。
口腔内スキャナー、レントゲンを駆使することで前歯の角度、顎の骨格的な問題、噛み合わせの平面、高さ、力をデータとして集めることで現在の患者様の噛み合わせ状態を多角的に理解します。
歯型を取るやり方ではないので、嘔吐反射があるという方も心配ありません。
施術内容
| 施術 | 内容 | 金額 |
|---|---|---|
| 噛み合わせ総合治療 | 噛み合わせを考慮し高強度プラスチック 仮歯にて審美的機能的に最速に改善 |
¥300,000 |
| ジルコニアセラミッククラウン | ジルコニアにセラミックを焼き付け 審美的にする主に前歯用 |
¥130,000 |
| フルジルコニアクラウン | ジルコニア100%なので割れない、綺麗。 主に奥歯用 |
¥110,000 |
| インビザライン | マウスピース型矯正装置 | ¥500,000 or ¥700,000 |
| 短期間タイプ(1年以内) 長期間タイプ(1年以上) |
噛み合わせ歯並び分析 | ¥30,000 |
| 削らないブリッジ | 接着ブリッジ | ¥200,000 |
| ウェルデン | 削らない審美的な入れ歯 | ¥100,000 |
| ワンデイトリートメント | 1日で集中的に治療したい方 | ¥70,000 |
虫歯の範囲にもよりますが歯を引っ張り出すエクストルージョン、歯茎を整形するクラウンレングスニング法を行い残せなかった歯を残した方もいらっしゃいます。
歯の根の治療をもっと質の良い方法で治療したい方のために根管治療専門医をご紹介しています。専門医での治療で高い確率で歯を残せます。
神経をとった場合根管治療(根の治療)をうまく行わないと病気が再発しもう一度治療を行わないといけません。また部分的な詰め物にすると虫歯になりやすく歯も割れやすくなります。当院ではなるべく歯の神経を取らないことをお勧めしております。
保険治療でもなるべく歯を多く削らないよう5倍速コントラの使用、マイクロルーぺ、を使い慎重に虫歯をとります。神経に近い場所は覆とうと呼ばれる方法で神経を温存する低収縮レジンを扱っています。
不具合の状態には個人差があります。噛み合わせ治療で改善される方もいればそうでない方もいらっしゃいます。当院では噛み合わせ診断を行い歯科領域で治療した方がいいところがあればご指摘させていただきます。
1本の歯の治療の方ですと数週間。噛み合わせ治療を総合的に行わないといけない方で2年くらいかかります。診断によって治療法が変わります。
スマイルライン、中切歯の位置関係を第一に考え、コイスデントフェイシャルアナライザー、ワックスアップにての事前シュミレーション、黄金比を使った方法、また実際に歯科技工士を交えてのコンサルを行います。審美的な歯を作るために仮歯の段階で審美的な段階まで行います。
ブリッジでも綺麗な歯が生えているように見えるテクニックオベイドポンティックを採用しています。さらに審美的に見せるために歯茎が痩せた方に歯茎を大きくさせる歯槽堤増大法を併用することでさらに審美的なブリッジを作ります。
矯正治療は歯並びの程度によって個人差があります。3ヶ月で終わる方もいれば長い方で3年以上かかる方もいます。